Clinical Cases
Luis F. (11 years old)
In cases of crowding (lack of space for teeth) it is advisable to start treatment when posterior teeth appear (around 10-11 years old).
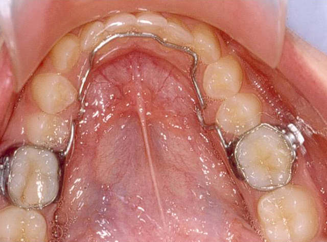
In the same way as Luis, we place first space maintainers and we take advantage of the size difference between the milk molars and the permanent premolars which replace them.
So we wait for the full eruption of teeth, after which we place fixed brackets and solve easily the problem.
We recommend the use of fixed retainers of wire “on the inner surface” to prevent these teeth to move again.




